新闻动态
2025-12-22 21:23 点击次数:167



冬季的【体格乳】,选品尺度全面升迁!
秋冬已至,厚厚冬衣上身的同期也意味一年一度的体格照料+好意思白黄金季到啦!为此,咱们借着前品牌在covid-19后已无法达到「好意思化」尺度之际,全面升级了「冬季体格乳」的选品尺度。
新品【M.A.D嫩白紧致体格乳】在长效保湿、建筑的前提下
功效新增
1⃣️ 好意思白:归附夏日被晒黑的肤色
2⃣️ 排除肤色不均:黑枢纽、后背痘印、蚊子包印、湿疹印
3⃣️ 更光滑细嫩:祛除皮屑、简易、鸡皮肤
4⃣️ 抗衰:紧致、丰弹
要素特有
1
给与被AAD(好意思国皮肤科学会)反复推选的体格“专用”多面手要素:
最适浓度(温煦+灵验)的Glycolic acid。不伤障蔽的更新(增厚表皮)。因为渗入性好、活性高,比同类要素的后果更明确,出奇适合干性皮肤用于「颐养性」照料。
2
特有的【8种氨基酸】紧致配方:
氨基酸时刻是现时最热点的护肤抗衰标的之一,有些品牌仅靠一个氨基酸配方,就敢把50ml乳液买到几千元(比如大热的德国AB)。这回,咱们让好意思化读者可以班师将体格照料升级到「顶奢面护级」(但价钱仅仅东说念主家的零头)。
3
建筑型保湿:
升迁皮肤的深层“锁”水能力,不黏腻,透气安闲。
@新读者:
来了解下问世20+年的资深药剂师品牌「M.A.D skincare」的实力
下滑搜检品牌先容
老读者都知说念,咱们对「品牌」有洁癖——
不要上市不及10年的、不要伪装成“入口产物”但只销往中国市集的、不要小界限厂商、不要无自主研发实力的、不要盲目跟风堆原料的、不可给「好意思化读者」齐备独家超特殊福利的不要!
「M.A.D skincare」是有20+年历史的好意思国药剂师品牌。1970年,好意思国药剂师/配方师Andre Kadem创办了专注于护肤品研发的D’ Arcy现实室;于1990年发展为「M.A.Dskincare」的研发和坐褥基地(生源论现实室 Biogenesis Labs);并在经过了10年的研发累积后于2009年推出了第一个产物,同期在好意思国新泽西州打造了10万+平米的自主坐褥基地,于今已有24年的研发累积和15年的品牌积淀,并为许多小品牌提供研发和代工就业。创举东说念主的布景也决定了M . A . D的时刻特质——高效、直达、隧说念、幸免盲目添加和无效护肤,同期药剂师布景的配方师也会更宥恕温煦性。
新品首团
一次性特殊福利
「好意思化」独家优惠价:
莫得花哨玩法、无用赠品凑扣头、让大家花最少的钱就拿到产物。
但也因为莫得花活的班师将价钱压到了最低,是以今后的老例团莫得赠品(恳请大家的相识,羊毛就在「首团」薅到爽吧~)
每瓶嫩白紧致体格乳
仅限首团附赠:
1支【多肽干细胞抗衰精华】TO GO
(7.5ml,近1/4瓶正装)
「老例团」无任何赠品
赠品亦然M.A.D的科研范抗衰王牌口碑品,在原产国买也要税前$68好意思元,比【团品体格乳】贵了一半;而且【赠品精华】正装也就30ml良友,咱们这一送即是7.5ml。

Signature Selection
新品M.A.D
嫩白紧致体格乳
200ml
全面「更新」:
细嫩(消鸡皮肤)
好意思白(建筑肤色不均)
抗衰(促进胶原重生)
给与被AAD反复推选的有缱绻,将【Glycolic acid】戒指在温煦➕灵验的最适浓度
✅超强渗入
能充分被采纳至皮肤深层。是以比拟「二代/三代果酸」,各方面后果都更权臣、明确。
✅不伤障蔽的「角质更新」
排除皮屑、改善简易、颐养鸡皮肤、让肤质更概述、松开因废旧角质堆积形成的肤色不均(如枢纽处发黑)。
不伤障蔽的将角质更新调整到健康频率,以致还能增厚表皮层,让障蔽结构更健康。
✅相配靠谱的「好意思白剂」
具有1➕1>2的双重好意思白机理:
1⃣️ 扼制酪氨酸酶的活性:
班师减少玄色素的生成。
2⃣️ 促进含有玄色素的老化细胞的加速衰败:
使肤色更快变均匀。
✅紧致、归附弹性:
促进重生,不输VA
通过刺激真皮层中的【成纤维细胞】,达到抗皱、概述肤质的后果。
✅保湿、深层滋养:
促进「内源性」玻尿酸再生
促进内源性【玻尿酸】和【自然保湿因子】的重生,升迁弹性,更丰盈、滋养。
建筑夏日损害、促进皮肤年青化:
特殊配方的8种氨基酸
➕PCA➕乳酸➕尿素
✅促进【胶原卵白】合成:
紧致、祛纹、升迁后光
精选珍藏皮肤结构、改善功能的8种氨基酸,并通过「特有配方」最大礼貌模拟东说念主体自含氨基酸配比
1⃣️ 升迁含水量、增强皮肤的自主抗氧化能力(比别东说念主更耐造更扛老);促进愈合;优化肤质。
2⃣️ 让促进重生、合成胶原卵白的后果最大化。
尤其是在经过了夏日的暴晒后,可建筑受损的皮肤结构、督察紧致和弹性。
建筑性保湿:
乳木果脂➕可可脂
轻薄安闲、透气不糊的肤感;
将皮肤含水量戒指在最适范围,由内而外的丰盈、健康、不油不干。
✅【乳木果脂】:
建筑障蔽能力、建筑妊娠纹
强化障蔽,建筑干燥受损的皮肤。
通过促进【胶原卵白】重生使皮肤更光滑、优柔。特有养分物【不皂化物】可抗氧化+抗炎。
✅【可可脂】:
升迁皮肤的自主保水力、舒徐、抗刺激
富含VA和VE,可抵触光损害。
必需脂肪酸可以出色的深层“锁”水。
特殊要素【可可多酚】可以缓解刺激,使皮肤更优柔、有弹性。
❌无乙醇、无假象要素、
无香料

团购时刻
预购团
(郑州保税仓)
周三11点---周四(21日)23点
适用肤质
皮肤干燥、简易、有皮屑
有鸡皮肤问题
肤色不均、枢纽发黑
夏日晒黑了
一切有抗衰需求的体格皮肤
干性、极干性、中性
羼杂性、油性
多样肤质都可的全家王人宜型
涂抹感很好的顺滑乳霜,颠倒容易涂开,而且渗入采纳的速率很快,即使是体格上的大面积皮肤也可以很快涂好。咱们确凿想不出有什么肤质不可用,但不要涂在有温存的皮肤上。

我的体格皮肤很干燥,还有鸡皮肤
短时的最大感受是:
既有滋养度、又轻薄透气;完全不会有糊了一层老油膏的嗅觉,但长效滋养的后果颠倒彰着——晚上涂完后哪怕到了第二天晚上,再摸皮肤都是「滑滑的」。
永远后果(每天用2次,赓续2-3个月后):
「鸡皮肤」变得没那么彰着;皮肤的合座平滑度彰着升迁,不管是小干纹、照旧皮屑/小越过,都变少了,连皮肤纹理都概述了。因为皮肤的平整度上来了,后光度和肤色就也变好了。
羊姆妈用来涂出奇简易、干裂的脚后跟(泡脚后涂),2个月后,确实是光滑到闪闪发亮,羊姆妈的原话是“这辈子,脚部皮肤还没这样光滑过”

▲左图:死皮,干裂都莫得了;
右图:70岁的羊姆妈,用了2个月后,脚都锃亮锃亮的
✨ 整个第一次使用的新产物:不管你是否为过敏肤质,都应该先在手腕作念时长为24小时的皮肤过敏测试,莫得不适(大片红疹、瘙痒等)再大面积涂抹。

秋冬季是
打造「全身白滑滑」的
最好时刻
对皮肤最不友好的秋冬季到了,但这是建筑体格皮肤的最好时机——无需防晒就可以留意紫外线,多样功能性要素都可以洛希界面的用起来,让暴晒了一整夏的体格皮肤更快速的白滑、细嫩转头
1⃣️体格皮肤,相对更“皮实”:
更能承受得住后果权臣的【功效型要素】。
2⃣️秋冬可尽情「体格好意思白」:
整个的好意思白要素,都需要配合严格防晒!夏日不可用好意思白体格乳。
3⃣️冬季让【体格乳】的使用感更好。
大大批进阶功效(好意思白、细嫩、抗衰),都需要将【功效要素】用足量。秋冬季干燥,可以唐突➕安闲地将【体格乳】涂够量。
咱们就用这个尺度,来望望【M.A.D嫩白紧致体格乳】的配方想路
全面「更新」:
细嫩(消鸡皮肤)
好意思白(建筑肤色不均)
抗衰(促进胶原重生)
深层的长效「建筑型保湿」
➕升级好意思白/嫩肤/紧致,祛「鸡皮肤」
【仅限首团】每瓶送7.5ml:
干细胞抗衰精华
要是说“肤白”仅仅亚洲审好意思的特有偏好,那光滑概述、有后光的肌肤,确定是无国界尺度。
针对简易和鸡皮肤,好意思国皮肤科学会(AAD)给出了明确的贬责有缱绻
促进角质更新、保湿舒徐,及摧枯拉朽。
【M.A.D嫩白紧致体格乳】给与了被AAD反复推选的【Glycolic acid】,并戒指在最适浓度(温煦➕灵验)。不仅兼具保湿、舒徐、促进角质更新,照旧明确的【好意思白】和【抗衰】要素,均匀肤色和促进胶原卵白重生的后果照旧被科学界反复阐发,是整个果酸中被参议最多、后果最好的一个
超强渗入性:
确保后果
【Glycolic acid】的个头很小,独一2个碳原子。而分子的大小与扩散速率成反比——分子量小一倍,扩散速率会加速8倍。
此处可上,斯托克斯-爱因斯坦方程来估算分子的渗入速率(D):

这个扩散渗入速率和分子的大小成反比,和分子量的3次方成线性关系:
(以上,为旺叔犀利条款保留的化学提高班本色)
说东说念主话即是:
自然同为AHA,但【Glycolic acid】的扩散渗入速率比柠檬酸快15.6倍;比很火的三代果酸「PHAs乳糖酸」快100倍。因此外涂后能充分被采纳至皮肤深层,各方面的后果都更权臣、明确。
不伤障蔽的
促进角质更新
【Glycolic acid】可以让角质层的更新归附到健康节拍,权臣促进角质更新频率的平素化——排除皮屑、改善简易、颐养鸡皮肤、让肤质更概述、松开因废旧角质堆积形成的肤色不均(如枢纽处发黑)。
在针对「鸡皮肤」的临床参议中认知:
每天神用2次,一语气4周后, 86%患者的鸡皮肤面积缩小了,皮肤平滑度提高。(文件[13])

以致还能权臣增厚表皮层
只消浓度合适,【Glycolic acid】不会伤障蔽,不会让“皮肤变薄了”, 以致还能增厚表皮层,让障蔽结构更健康;并促进表皮的增生。
在2020年的最新参议中阐发:
合理使用5天后,自然加速了角质层的更新速率,但增多了角质层的厚度。(文件[2])

而且还促进了表皮的增生:使用6天后,表皮增生指数彰着提高,【表皮层】有了彰着的归附性增长。

提亮肤色:
是相配靠谱的【好意思白剂】
【M.A.D嫩白紧致体格乳】中的【Glycolic acid】具有1➕1>2的双重好意思白机理,可以权臣的好意思白、均匀肤色
1⃣️ 扼制酪氨酸酶的活性:
班师减少玄色素的生成,减轻色斑。
2⃣️ 促进角质更新:
让含有玄色素的老化细胞加速衰败,使肤色更快变均匀、亮白。

▲立时、双盲、平行组临床参议:颐养深色皮肤的色素千里着的后果,与4%氢醌一样权臣。(文件[3])

▲颐养6周,16周,24周后:色素千里着减少的后果与【4%氢醌】一样好。
紧致、归附弹性:
促进胶原重生,不输VA
可以通过刺激真皮层中的【成纤维细胞】,来增多【胶原卵白】的重生,由此达到抗皱、概述肤质的抗衰后果。这个后果在科学界的招供度,以致不输VA。
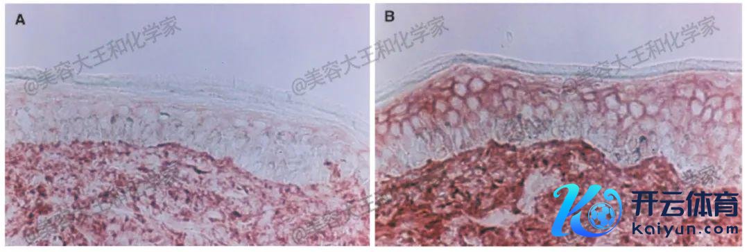
✅微不雅层面
在对皮肤中【胶原卵白】进行显色标注的参议中:
使用6天后,皮肤中的【胶原卵白】含量就运行彰着变多 (底下的截面图中,深红色部分即是【胶原卵白】的散布)。(文件[2])

✅ 在肉眼可见的表不雅层面
1996年的临床参议中认知:
使用4周后,皱纹彰着获得改善,尤其眼角的皱纹彰着减少。(文件[4])

▲(左边)使用前,(右边)使用后。
✅ 哪怕是低浓度,也能灵验排除皱纹:
1998年的一项临床参议中认知,即使是【5% Glycolic acid】,在使用30天后都认知出明确灵验皮肤除皱后果(有统计酷爱的)。(文件[5])

▲(左边)使用前,(右边)使用后。
保湿、深层滋养:
促进「内源性」玻尿酸再生
还能促进多样内源性【自然保湿因子】的重生,由此升迁皮肤的弹性,更丰盈、滋养。
越来越多的科学参议标明:
【Glycolic acid】可以让表皮中的内源性【透明质酸】权臣增多。因此出奇适合干性皮肤、和秋冬季使用——不仅能促进角质细胞的更新平素化,而且能通过促进角质形成细胞和成纤维细胞的活性,提高皮肤的「自主」保湿力。(文件[6])

▲ (A)空缺对照组,红色的是角质形成细胞之间的透明质酸。(B)【Glycolic acid】处理过的皮肤,【真皮层细胞】彰着变多,表皮层中的【透明质酸】也更多(染色彰着增多)。
这样好的【Glycolic acid】
只适合用在体格
自然【Glycolic acid】是艰辛被科学界和AAD都招供的护肤多面手,还省事多效,一瓶n效。出奇适合干性皮肤用于颐养性照料,以致可以让敏锐皮也享受上。
但它也有短板——光敏性,不适合用于「面部」。但在秋冬季用于体格照料,因为有了穿着的笼罩,则可以完全遁入短板,充分推崇它整个的上风。是咱们心目中的「体格照料特供」要素。
建筑夏日损害、促进皮肤年青化:
特殊配方的【8种氨基酸】
➕PCA➕乳酸➕尿素
深层的长效「建筑型保湿」
➕升级好意思白/嫩肤/紧致,祛「鸡皮肤」
【仅限首团】每瓶送7.5ml:
干细胞抗衰精华
东说念主东说念主都知说念胶原卵白的迫切性,但其实【氨基酸】才是【胶原卵白】的基本构成单元(原料)。【氨基酸】的含量和种类配比,班师影响着体内【胶原卵白】的合成、质地与含量。
为了达到最好后果,【M.A.D嫩白紧致体格乳】给与了一个特有「类东说念主源」氨基酸配方时刻:最大礼貌的模拟了东说念主体自含氨基酸的比例和结构
让「保湿」不再是靠糊一层老油膏,而是通过模拟皮肤自含自然保湿因子的功能,既有轻薄安闲、透气不糊的肤感;还能让皮肤将含水量精确戒指在最适范围,由内而外的透着丰盈、健康、不油不干。
使用2周,皮肤含水量就提高了160%;
经皮失水量也比初值裁减到90%。


▲【M.A.D嫩白紧致体格乳】和【东说念主体自含NMF】中的氨基酸组分对比
促进【胶原卵白】合成:
紧致、祛纹、升迁后光
【M.A.D嫩白紧致体格乳】精选了与珍藏「皮肤结构」、改善「皮肤功能」测度的8种【氨基酸】
✅赖氨酸:
必需氨基酸(东说念主体无法我方合成,必须靠外助性补充)。匡助皮肤坐褥【胶原卵白】。
✅精氨酸:
匡助督察皮肤的齐备性和免疫功能。
促进皮肤中自然保湿因子【尿素】的合成、促进对受损细胞的祛除,减速腐败程度。
✅甘氨酸:
半必需氨基酸(处于不良外环境时,需要外助性补充)。
约占【胶原卵白】的三分之一,内源性抗氧化剂。每每熬夜、过敏、日晒的童鞋,补充【甘氨酸】是刚需。
✅苏氨酸:
必需氨基酸(东说念主体无法我方合成,必须靠外助性补充)。
皮肤中迫切的养分强化剂,对保护细胞、促进皮肤的孕育、抗衰、保湿起迫切作用。
✅谷氨酸:
【胶原卵白】的主要构成要素(是卵白质的结构氨基酸)。
✅丝氨酸:
构成【卵白质】的基本氨基酸。
✅丙氨酸:
促进皮肤损害的愈合。
✅脯氨酸:
构成【胶原卵白】的迫切要素。在临床顶用于烫伤及外伤手术后的【卵白质】补充。
临床数据
护肤不是简便的要素堆砌。
系统的对比参议认知:
单独使用上述氨基酸,都不会提高皮肤中的【胶原卵白】含量!
独一使用特殊种类和比例的复配氨基酸组合时,才能改变卵白质代谢——彰着提高【胶原卵白】含量。(文件[11])
【M.A.D嫩白紧致体格乳】给与特有配方的氨基酸要素组,再复配PCA➕乳酸➕尿素这三个一样在皮肤更新历程中必不可少的内源性要素
使用3小时后,可穿透角质层渗入至皮肤深层,达到必须穿透角质层才能竣事的功效——升迁胶原卵白含量。
每天朝夕使用2次,赓续2周后:
多样情状下的皱纹指数都有开端20%以上的减少。


长效的
建筑性保湿
深层的长效「建筑型保湿」
➕升级好意思白/嫩肤/紧致,祛「鸡皮肤」
【仅限首团】每瓶送7.5ml:
干细胞抗衰精华
建筑障蔽能力、建筑妊娠纹:
富含不饱和脂肪酸和不皂化物的【乳木果脂】
升迁皮肤自己的保水力、舒徐、抗刺激:
富含必需脂肪酸、VA/VE和可可多酚的【可可脂】
乳木果脂
强化障蔽,建筑干燥受损的皮肤。刺激【胶原卵白】重生,使皮肤愈加光滑和优柔;并因为富含维生素和特有养分物【不皂化物】,可提供抗氧化和抗炎后果、对痘痘、痘印、一些慢性的皮肤炎症也有很好的缓解作用。
建筑皮肤的锁水能力
【乳木果油】由五种主要脂肪酸构成:棕榈酸、硬脂酸、油酸、亚油酸和花生酸,并富含维生素A和E。不仅有优秀的保湿后果,还可以促进灵验要素的经皮采纳。

其中的【亚油酸】,咱们的读者应该很熟识了——玫瑰果油中的主要要素。外涂补充【亚油酸】
1
在表皮层中:
和两种不同的神经酰胺纠合,进一步提高角质层的「锁水」能力。
2
在真皮层中:
通过协助产生信号分子简略影响细胞信息传导,来裁减炎症响应和抗光老化。
特有要素【不皂化物】:
抗氧化、抗炎、防晒
【不皂化物】对皮肤有特有作用:
抗氧化、改变表皮细胞的离别和发育、抗炎和抗菌;更出色的是,【不皂化物】中的肉桂酸还能采纳紫外线放射,达到有限的防晒后果。
【不皂化物】一般在油脂中的浓度都很低,但却独一在【乳木果脂】中含量颇高——可以高达17%,是以【乳木果脂】是一种可以提供多重功效的建筑型保湿要素。
可可脂
富含维生素A和E、及必需脂肪酸,可强化皮肤障蔽结构、减少紫外线损害。其抗氧化本性可匡助皮肤减少氧化应激状态,幸免过早腐败。并有出色的深层“吸”水作用,升迁皮肤弹性。时光机
特有功效要素【可可多酚】
是一种超强抗氧化剂,由于在化学结构上有先天上风,它的「抗氧化能力」要比其它多酚都更灵验。可以扼制脂质过氧化、并灵验阻难/中庸ROS、缓解刺激,使皮肤更优柔、有弹性。——总之一句话,超强的抗氧化后果。(文件[12])

▲可可黄烷醇的三环结构决定了它的抗氧化作用;这些结构上的电子的离域可祛除ROS。而且,这些芳醇环班师中庸解放基并螯合增强ROS的金属(Fe2+和Cu+)。

内测肤感反馈
对于肤感,咱们内测时收到最多的反馈即是:
采纳好快!
不粘穿着~
温煦且长效保湿,全家都爱用!
✅遥远滋养
@中性、一般干性皮肤反馈:
“晚上洗沐后,在体格还微微湿气时涂抹,一次就富裕长效保湿到第二天晚上。
@“塔克拉玛干沙漠皮”童鞋反馈:
”每天朝夕各涂一次,保湿后果杠杠的。”
✅舒礼貌
一致认为:不粘腻、不粘手、很容易推开。
哪怕是出奇受不了“膜感”的东说念主,也以为“很安闲、不会粘寝衣,也不会在身上有黏糊糊存在感”。
✅温煦度
@冬季会干痒、很容易起红疹/大包的敏锐皮肤:
内测时出奇找了几位过敏体质童鞋,渊博反馈【M.A.D嫩白紧致体格乳】算作一个功效型产物,温煦度竟然很可以!哪怕是持过、有白印的皮肤,涂上也不会刺激,有惊喜到~

购买应知
最好使用期至
2027年9月
开瓶保质期:12个月
年度「囤货福利」第三场:
仅限新品首团
的特殊加赠
由于是莫得花活的班师将价钱压到最低,让大家花最少的钱就拿到产物,是以今后的老例团莫得赠品(恳请大家的相识,羊毛就在「首团」薅到爽吧~)
每瓶嫩白紧致体格乳
仅限首团附赠:
1支【多肽干细胞抗衰精华】TO GO
(7.5ml,近1/4瓶正装)
仅限首团
「老例团」无任何赠品

赠品证明
M.A.D多肽干细胞抗衰精华
YOUTH TRANSFORMATION AGE CORRECTIVE SERUM
多肽抗衰复合物:
刺激胶原卵白的重生、驱动皮肤再生,诉求减少皱纹并提高弹性。
苹果果干细胞索求物:
通过促进细胞增殖和组织再生,来匡助减少皱纹、延伸皮肤细胞的寿命。
葡萄果干细胞索求物:
富含抗氧化剂,圮绝紫外线压力和阳光照耀形成的损害。
峻岭玫瑰干细胞索求物:
为皮肤细胞提供能量,保护细胞免受紫外线损害,并改善肤色、质地和紧致度。
Unirepair T-43氨基酸复合物:
临床参议认知可提高 UVB 照耀后的 DNA 建筑率。
尿囊素➕Sedaplant Richter Sedaplant Richter:
植物源的抗刺激索求物。源自茴香、啤酒花、洋甘菊、香脂薄荷、槲寄生和欧蓍草。与尿囊素复配后,可灵验稳定和舒徐敏锐肌肤。

品牌班师授权
M.A.D 的全称其实即是Maximum Active D ermaceuticals(最高活性的护肤配方)。于1970年,由好意思国药剂师、知名配方师Andre Kadem创办了专注于护肤品研发的D’ Arcy现实室;于1990年发展为「M.A.Dskincare」的研发和坐褥基地(生源论现实室 Biogenesis Labs);并在经过了10年的研发累积后于2009年推出了第一个产物,同期在好意思国新泽西州打造了10万+平米的自主坐褥基地,于今已有24年的研发累积和15年的品牌积淀,为许多小品牌提供研发和代工就业。M.A.D的产物在全球的40多个国度/地区都有销售。
下滑,看品牌【创举东说念主授权视频】
➕【授权信】
M.A.D 的President(Michael Contorno),专为咱们beauty scanner的读者录制了视频
总部班师写给咱们的授权信


发货时刻
预购团
团购搁置后8个责任日内
团购时刻
运行:周三(未来)中午11点
截止:周四(21日)23点
咱们将在团购运行前,定时上架开团的产物,未来11点,进去就会看到产物连结,现时是木有哒~
请先点击如下连结插足「群团团」小步伐▼
订阅「好意思容大王和化学家」▼

但愿大家可爱~
最新团购有缱绻
12月11日
好意思化「速采纳」双绝
✅【8重胜肽精华】
拒却无效护肤,冬季温煦抗老的速采纳精华!
搭载专利【深渗入时刻】:
科学复配5种抗衰胜肽➕3种建筑胜肽,给与制药业的传输格局,精确到达皮肤深层靶点。
清透秒采纳,无乙醇、无膜感,多样肤质宽解用。颠倒适合与「早C晚A」搭配,1+1>2协同增效,波及「个东说念主抗衰天花板」。
实确凿在打6折,再送超VA精华➕立减,订价几乎良心到了及其!
✅【渗入型舒徐再生精华水】
快速舒徐、稳定、去红、补水:
「打底界」的扛把子要素,促进后续精华/乳霜的渗入并让皮肤更耐受。
平缓被湿热空气和暖气房刺激的皮肤、去红、舒徐因清洁而受损的皮肤;并快速上层补水,脆弱肌/敏锐皮的坦然打底。
@暖气房中容易「红二团」、用「好意思白/抗老精华」就泛红发烧的童鞋,一定要碰红运!
独家6.3折➕初次立减!
紧接着
从秋天被催到现时的
✅【超VA极致抗衰精华】:
抗衰全面升级➕超高性价比的next level精华!
使用升级的【无需改变型VA】搭配专利载体时刻,高活性+不怕光+温煦+易搭配。再加【三重植物系VA】协同增效;及国内莫得的【超等抗氧剂】,24h补胶原。脆弱肌也能用。
自然是刚开完首团的新品,但照旧集合了一大波求团粉。会【送】冬季绝配好意思白/保湿精华给大家~
再之后
由内而外升迁「水嫩后光」组
✅【靶向水能源精华】:
真皮层「抗衰型补水」刚需!
比好意思水光针的后果,直达肌底,升迁皮肤自我产水力,促胶原重生。让皮肤更有弹性、光滑、减缓皱纹。肤感高档概述,不浓重、深层滋养。
官网价钱暴涨了¥170rmb,咱们扛住不涨价,再送下次猴年马月的顶级豪赠,过年前把羊毛薅到底!
✅【有机建筑纯果油】:
冬季「保鲜美」硬刚需!
强力建筑、滋养抗炎:提皮肤耐老力,建筑障蔽,保险后续功效要素灵验渗入;无可替代。
买1送20加量不涨价,囤足坦然过年~
✅【保险蔽洁净洗面奶】
果油的「最好搭档」。
一年四季「卸防晒」不伤障蔽,清洁力温煦且够用。
之后连续开
✅【休眠面膜】补货✅【高档配方四抗面霜2.0】等。紧记星标咱们,每天来望望著作扫尾的【最新团购有缱绻预报】,别错过~
参考文件:[1]-[13]
[1].Cell Tissue Res. 2015; 360(3): 483–490;https://www.ncbi.nlm.nih.gov/pubmed/9248619)
[2].Narda M, Trullas C, Brown A, Piquero-Casals J, Granger C, Fabbrocini G. Glycolic acid adjusted to pH 4 stimulates collagen production and epidermal renewal without affecting levels of proinflammatory TNF-alpha in human skin explants. J Cosmet Dermatol. 2021 Feb;20(2):513-521.
[3].Kakita LS, Lowe NJ. Azelaic acid and glycolic acid combination therapy for facial hyperpigmentation in darker-skinned patients: a clinical comparison with hydroquinone. Clin Ther. 1998 Sep-Oct;20(5):960-70. doi: 10.1016/s0149-2918(98)80077-5. PMID: 9829447.
[4].Newman N, Newman A, Moy LS, Babapour R, Harris AG, Moy RL. Clinical improvement of photoaged skin with 50% glycolic acid. A double-blind vehicle-controlled study. Dermatol Surg. 1996 May;22(5):455-60.
[5].Thibault PK, Wlodarczyk J, Wenck A. A double-blind randomized clinical trial on the effectiveness of a daily glycolic acid 5% formulation in the treatment of photoaging. Dermatol Surg. 1998 May;24(5):573-7; discussion 577-8. doi: 10.1111/j.1524-4725.1998.tb04209.x. PMID: 9598014.
[6].Bernstein EF, Lee J, Brown DB, Yu R, Van Scott E. Glycolic acid treatment increases type I collagen mRNA and hyaluronic acid content of human skin. Dermatol Surg. 2001 May;27(5):429-33.
[7].Solano, F. (2020). Metabolism and Functions of Amino Acids in the Skin.. Advances in experimental medicine and biology, 1265, 187-199 .
[8].Noguchi, A., & Djerassi, D. (2009). Amino Acids and Peptides: Building Blocks for Skin Proteins. , 287-317. https://doi.org/10.1016/B978-0-8155-2029-0.50022-3.
[9].Choi, Y., Yang, D., Kulkarni, A., Moh, S., & Kim, K. (2015). Mycosporine-Like Amino Acids Promote Wound Healing through Focal Adhesion Kinase (FAK) and Mitogen-Activated Protein Kinases (MAP Kinases) Signaling Pathway in Keratinocytes. Marine Drugs, 13, 7055 - 7066.
[10].Takaoka, M., Okumura, S., Seki, T., & Ohtani, M. (2019). Effect of amino-acid intake on physical conditions and skin state: a randomized, double-blind, placebo-controlled, crossover trial. Journal of Clinical Biochemistry and Nutrition, 65, 52 - 58.
[11].Murakami H, Shimbo K, Inoue Y, Takino Y, Kobayashi H. Importance of amino acid composition to improve skin collagen protein synthesis rates in UV-irradiated mice. Amino Acids. 2012 Jun;42(6):2481-9.
Kabakci AG, Cengizler Ç, Eren D, Bozkir MG. Morphometric analysis of the effects of high molecular weight sodium hyaluronate and amino acids mixture on face rejuvenation. J Cosmet Dermatol. 2024 Aug;23(8):2618-2627.
[12].Jan Wollgast, Elke Anklam, Polyphenols in chocolate: is there a contribution to human health?, Food Research International, Volume 33, Issue 6, 2000, 449-459,
[13].https://modernaesthetics.com/articles/2018-may-june/glycolix-glyco-urea-kp-therapy
End
好意思编:Tw
责编:Janice
配合 | 转载 | 投稿等多样需求
都请在微信或微博后台发送关系关键词给咱们
会收到相应复兴
可爱著作,
让更多的东说念主沿途变好意思

Powered by 开云(中国)kaiyun网页版登录入口 @2013-2022 RSS地图 HTML地图